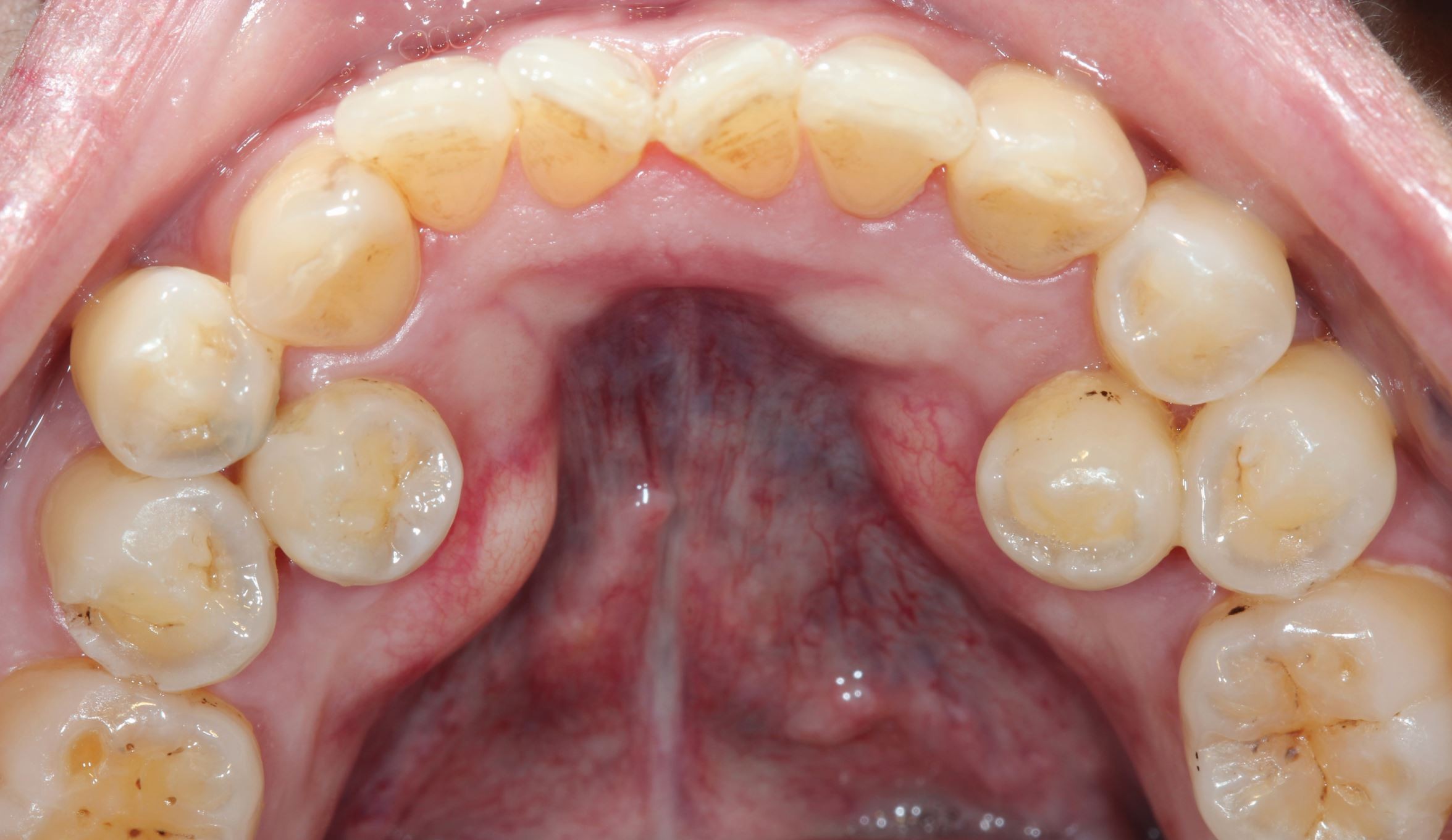
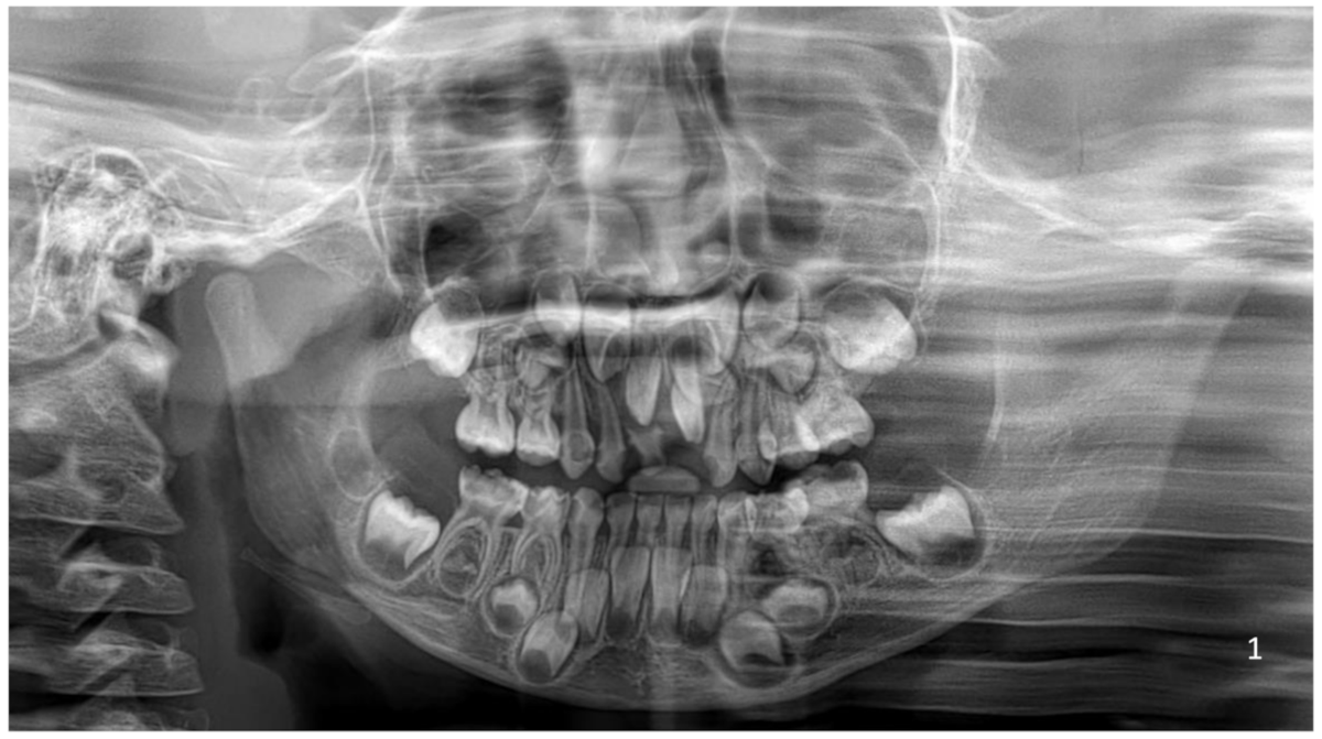
Supernumerary teeth (Hyperdontia) Supernumerary teeth are a common finding in the general population with approximately 0.1% - 3.8% of people presenting with at least one extra tooth. The vast majority of the
image size: 2048x1536
EPOS\u0026trade;
image size: 1024x768
Rare case of a child suffering from a condition called - MEDizzy
image size: 1080x887
Have you ever seen something like this before? It is not edited o. It's a condition where a person develops way more teeth than normal (a rare dental abnormality called hyperdontia). Normally,
image size: 1000x1300
Hyperodontia - MEDizzy
image size: 1440x695
Hyperdontia, the condition of having extra teeth beyond the typical adult count of 32, affects a small percentage of the population and is often associated with genetic syndromes like Gardner's syndrome, Ehlers-Danlos
image size: 1152x1440
Clinical and Radiological Insights of Cleidocranial Dysplasia: A Case Report of a Rare Medical Condition
image size: 1419x1412
A rare case of Gardner syndrome in an African adult male: A case report - Olaopa - 2024 - Clinical Case Reports - Wiley Online Library
image size: 1400x1297
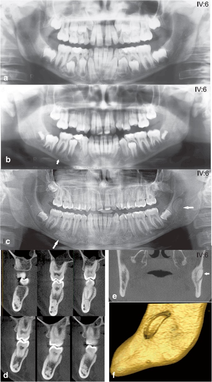
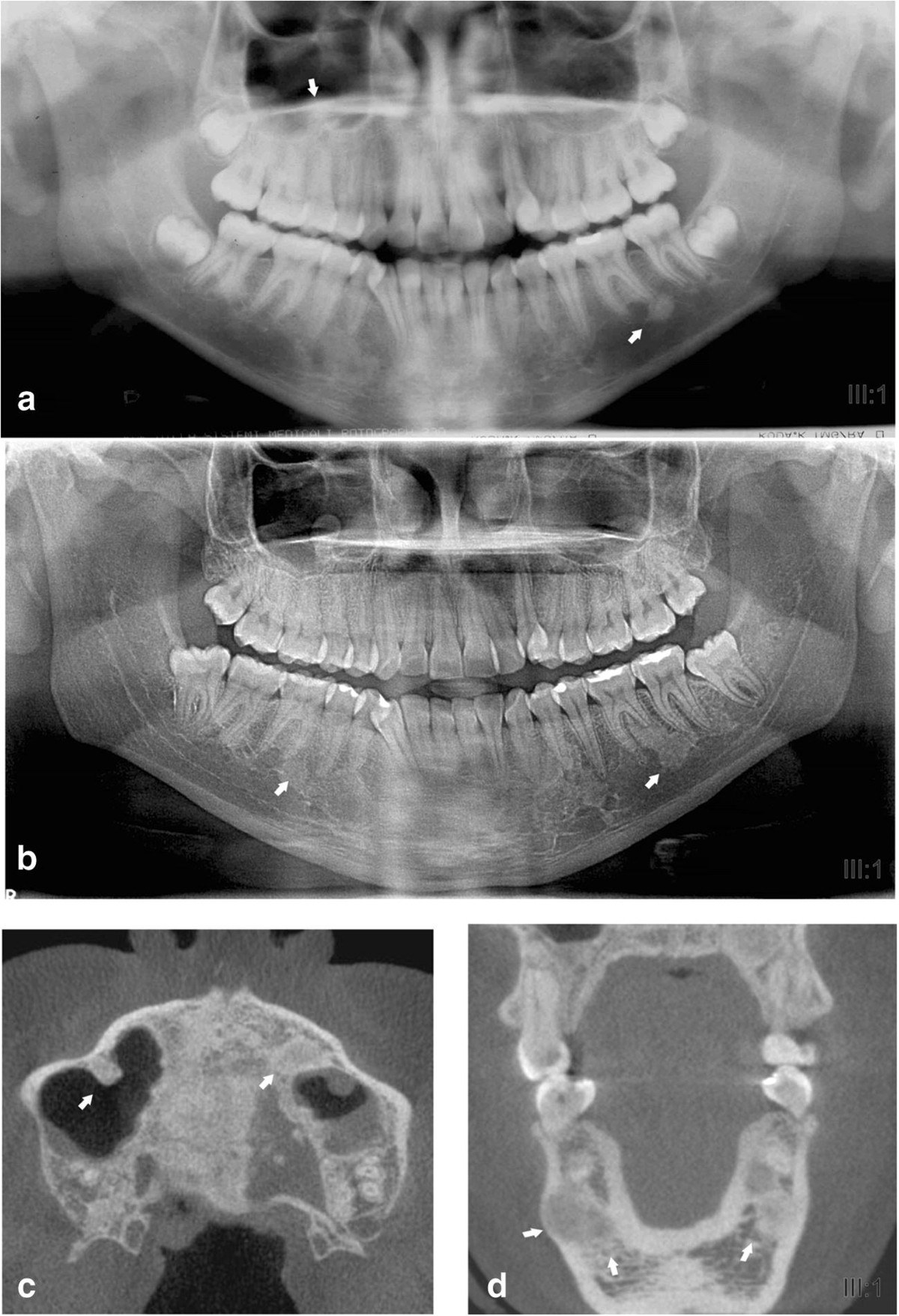
Familial multiple impacted supernumerary teeth: Case report - Loulwah K Alothman, Azizah F Bin Mubayrik, Reema Alshawaf, Randa Alfotawi, Abdulaziz S Alqahtani, 2025
image size: 1992x1067
A rare case of Gardner syndrome in an African adult male: A case report - Olaopa - 2024 - Clinical Case Reports - Wiley Online Library
image size: 915x1413
A case report of Gardner syndrome with hereditary widespread osteomatous jaw lesions - Oral Surgery, Oral Medicine, Oral Pathology, Oral Radiology and Endodontics
image size: 2210x1124
Familial multiple impacted supernumerary teeth: Case report - Loulwah K Alothman, Azizah F Bin Mubayrik, Reema Alshawaf, Randa Alfotawi, Abdulaziz S Alqahtani, 2025
image size: 945x854
Condition of having extra teeth
image size: 1175x730
Metachronous supernumerary teeth in a non-syndromic patient | Published in Journal of the Irish Dental Association
Multiple supernumerary teeth: a sign of an underlying syndrome? | Dental Update
image size: 1500x1869
Multiple Mandibular Osteomas Not Associated with Gardner Syndrome: Case Report and Literature Review
image size: 1479x616
Gardner syndrome | Radiology Case | Radiopaedia.org
image size: 1440x1218
Sharing some interesting x-rays of two patients that came to us this month. : r/Dentistry
image size: 1438x1082
Multiple supernumerary teeth: a sign of an underlying syndrome? | Dental Update
image size: 1334x592
Gardner's Syndrome Revisited: A Clinical Case and Overview of the Literature | Semantic Scholar
image size: 1379x879
Gardner's syndrome with bilateral osteomas of coronoid process resulting in limited opening
image size: 1891x2191
Clinical and radiological findings in Gardner's syndrome: a case report and follow-up study
image size: 2128x2800
Metachronous supernumerary teeth in a non-syndromic patient | Published in Journal of the Irish Dental Association
image size: 1080x1350
Impacted Teeth Obstructed by Spernumerary with Miniplate
image size: 911x919
A novel mutation of adenomatous polyposis coli (APC) gene results in the formation of supernumerary teeth - Yu - 2018 - Journal of Cellular and Molecular Medicine - Wiley Online Library
image size: 2291x1791
In an astonishing medical discovery, dentists in Brazil uncovered a rare case of Hyperdontia — a developmental anomaly in which extra teeth grow beyond the normal set. The patient: an 11-year-old girl
image size: 815x1024
Multiple hyperdontia: Report of an unusual case - American Journal of Orthodontics and Dentofacial Orthopedics
image size: 2180x2161
Jaw and Dental Abnormalities - Dental Clinics
image size: 2100x1351
Gardner syndrome: What is it, causes, and symptoms
image size: 3024x4032
Multiple supernumerary teeth: a sign of an underlying syndrome? | Dental Update
image size: 4280x2612
Oral manifestations of gastrointestinal diseases
image size: 1200x1168
Surgical Management of Impacted Supernumerary Tooth: A Case Series
image size: 1500x1412
A Case of Oral Tori in a 60-Year-Old Woman | Consultant360
image size: 1438x897
Still have majority of my baby teeth at 33 : r/askdentists
image size: 1248x1502
Gardner's syndrome - Wikipedia
image size: 1577x538
Multiple Mandibular Osteomas Not Associated with Gardner Syndrome: Case Report and Literature Review
image size: 2182x1248
Supernumerary Teeth: An overview for the general dental practitioner | Dental Update
image size: 1772x932
UNUSUAL CASE OF A TALON CUSP ON A SUPERNUMERARY TOOTH IN ASSOCIATION WITH A HYPERDONTIA: A VIEW ON THEIR ETIOPATHOGENESIS | Semantic Scholar
image size: 1134x720
Multifocal mixed radiolucent-radiopaque lesions in an adult - The Journal of the American Dental Association
image size: 1500x2057
Multiple supernumerary teeth: a sign of an underlying syndrome? | Dental Update
image size: 2507x1898
Application of digital positioning guide plates for the surgical extraction of multiple impacted supernumerary teeth: A case report and review of literature
image size: 2316x820
Dental Case Presentation of Gardner's Syndrome
image size: 935x1194
Multiple Mandibular Osteomas Not Associated with Gardner Syndrome: Case Report and Literature Review
image size: 2182x881
Atypical Gardner's Syndrome with Proptosis as the Primary Symptom - Ophthalmology
image size: 1935x887
Gardner's syndrome with bilateral osteomas of coronoid process resulting in limited opening
image size: 3305x3588
Developmental and Acquired Abnormalities of the Teeth - Dental Clinics
image size: 2316x1494
The Surgical Management of Oral and Maxillofacial Manifestations of Gardner Syndrome - Journal of Oral and Maxillofacial Surgery
image size: 1865x1050
Multiple supernumerary teeth: a sign of an underlying syndrome? | Dental Update
image size: 2308x1388
Multiple odontoma in Gardner syndrome: unusual report
image size: 685x1233
Multiple hyperdontia: Report of an unusual case - American Journal of Orthodontics and Dentofacial Orthopedics
image size: 1523x2560
Unusual Supernumerary Teeth and Treatment Outcomes Analyzed for Developing Improved Diagnosis and Management Plans - Journal of Oral and Maxillofacial Surgery
image size: 2720x2538
Developmental and Acquired Abnormalities of the Teeth - Dental Clinics
image size: 1200x671
Dentosphere : World of Dentistry: Gardner syndrome does not include:
image size: 1119x1280
Gardner syndrome with odontogenic sinusitis: A case report
image size: 2048x2895
Jaw and Dental Abnormalities - Dental Clinics
image size: 4032x3024
Early Initial Diagnosis of Gardner Syndrome in a 12-Year-Old Boy
image size: 2351x1360
Clinical and radiological findings in Gardner's syndrome: a case report and follow-up study
image size: 1814x1207
Gardner syndrome with odontogenic sinusitis: A case report
image size: 1250x808
Dento-osseous anomalies in patients with familial adenomatous polyposis: A follow-up study | Clinical Oral Investigations
image size: 1200x1756
Clinicopathological and molecular insights into odontogenic tumors associated with syndromes: A comprehensive review
image size: 1200x900
Gardner Syndrome
image size: 2122x4285
Familial multiple impacted supernumerary teeth: Case report - Loulwah K Alothman, Azizah F Bin Mubayrik, Reema Alshawaf, Randa Alfotawi, Abdulaziz S Alqahtani, 2025
image size: 1058x1200
Late developing supernumerary teeth and congenital absence of the upper right lateral incisor in the maxillary anterior region: a rare case report | BMC Oral Health
image size: 1486x1065
Case of Supernumerary Teeth in Non-Syndromic Patient
image size: 2100x1235
Bilateral, Dissimilar, Impacted Supernumerary Teeth in a Non-syndromic Child: A Case Report
image size: 910x1024
Gardner's Syndrome: A Report of Two Cases | PDF
image size: 1512x822
My current case of “hmmm. That's interesting : r/Radiology
image size: 1528x3590
What you need to know about supernumeraries | BDJ Student
image size: 1410x1700
Why Do I Have Extra Teeth? Exploring the Causes of Hyperdontia - Eastman Dental Group
image size: 1200x800
How to Fix an Extra Tooth in the Mouth? | Alpine Dental
image size: 1410x1161
Dento-osseous anomalies in patients with familial adenomatous polyposis: A follow-up study | Clinical Oral Investigations
image size: 1892x1691
11 Rare Tooth Disorders and their ICD-10 Codes
image size: 2100x1142
Mutations in AXIN2 Cause Familial Tooth Agenesis and Predispose to Colorectal Cancer: The American Journal of Human Genetics
Multiple hyperdontia: Report of an unusual case - American Journal of Orthodontics and Dentofacial Orthopedics
image size: 2128x1058
Managing Supernumerary Teeth: A Report of Four Cases
image size: 1024x768
What is hyperdontia? Click to learn more about this condition.
image size: 1296x728
Orthodontic management of midline diastema caused by mesiodens: A case series - Asian Journal of Oral Health and Allied Sciences
image size: 1500x1013
A case report of Gardner syndrome with hereditary widespread osteomatous jaw lesions - Oral Surgery, Oral Medicine, Oral Pathology, Oral Radiology and Endodontics
image size: 1200x800
Hyperdontia is the condition of having extra teeth that appear in addition to the regular number of teeth, which is usually 32 in adults. It is often linked to certain genetic syndromes
image size: 1595x848
Extra Teeth in Kids: Diagnosis and Orthodontic Care
image size: 1566x1201
Familial multiple impacted supernumerary teeth: Case report - Loulwah K Alothman, Azizah F Bin Mubayrik, Reema Alshawaf, Randa Alfotawi, Abdulaziz S Alqahtani, 2025
image size: 1117x945
Impacted Teeth Obstructed by Spernumerary with Miniplate