Giant cell tumor of the tendon sheath: A critical review of current diagnostic and therapeutic approaches with treatment recommendations for hand and foot lesions - Journal of Musculoskeletal Surgery and Research
image size: 1010x1120
In Plain Sight: An Inconspicuous Case of a Giant Cell Tumor - The American Journal of Medicine
image size: 3167x2274
t(1;2)-Positive Localized Tenosynovial Giant Cell Tumor With Bone Invasion | In Vivo
image size: 1338x1800
Mimics on Radiography of Giant Cell Tumor of Bone | AJR
image size: 1267x1800
Radiotherapy for Giant Cell Tumors of the Bone: A Safe and Effective Treatment Modality | Anticancer Research
image size: 1800x1316
Management of a rare giant cell tumor of the distal fibula: A case report
image size: 1895x1506
Giant Cell Tumor of the Acromion: Case Report and Literature Review | In Vivo
image size: 1307x1800
Treatment of Giant Cell Tumor of Soft Tissue Disguised as Giant Cell Tumor of the Bone Involving the Distal and Proximal Phalanges of the Great Toe in: Journal of the American Podiatric
image size: 1024x1018
Giant cell tumors most frequently occur at the epiphyseal end of a long bone and most commonly in women age 20 to 40 years old. The classic radiologic findings are “soap bubble”
image size: 1080x1080
Imaging of Giant Cell Tumor and Giant Cell Reparative Granuloma of Bone: Radiologic-Pathologic Correlation | RadioGraphics
image size: 1496x1800
Figure 1 from Giant Cell Tumor of the Bone: Radiography, CT, MRI, and Angiography Findings | Semantic Scholar
image size: 1198x900
Giant Cell Tumor of Bone: Case 22 | Springer Nature Link (formerly SpringerLink)
image size: 685x1155
Giant cell tumour of hand bones: outcomes of treatment - Ajay Puri, Rohit Rajalbandi, Ashish Gulia, 2021
image size: 3874x2366
Imaging Characteristics of Locally Recurrent Tumors of Bone | AJR
image size: 1188x1800
Arthroscopic Management of Giant Cell Tumor of the Calcaneus - I Gede Eka Wiratnaya, I Wayan Subawa, Putu Astawa, Hans Kristian Nugraha, 2022
image size: 1761x1375
Giant Cell-Rich Tumors of Bone - Surgical Pathology Clinics
image size: 2823x1757
A case of recurrent giant cell tumor of bone with malignant transformation and benign pulmonary metastases | Diagnostic Pathology
image size: 685x1741
Giant-Cell Tumors of Bone | New England Journal of Medicine
image size: 1875x830
Giant Cell Tumour of the Spine | Cureus
image size: 986x1085
Multimodal imaging in the diagnosis of bone giant cell tumors: A retrospective study
image size: 2314x1235
Giant Cell Tumor of Bone: Review, Mimics, and New Developments in Treatment | RadioGraphics
image size: 787x1280
Giant Cell-Rich Tumors of Bone - Surgical Pathology Clinics
image size: 2823x1811
MRI Findings of Giant Cell Tumors of the Spine | AJR
image size: 1560x1800
File:Giant cell tumor of bone08.JPG - Wikimedia Commons
image size: 1508x2932
H3F3A‐mutated giant cell tumour of bone without giant cells—clinical presentation, radiology and histology of three cases - Leinauer - 2021 - Histopathology - Wiley Online Library
image size: 2128x1518
Giant Cell Tumor of the Calcaneus | Cureus
image size: 986x1194
Tenosynovial giant cell tumor involving the cervical spine: A case report
image size: 1920x591
MRI of diffuse-type tenosynovial giant cell tumour in the knee: a guide for diagnosis and treatment response assessment | Insights into Imaging
image size: 1200x1119
Journal of radiology . Fig. 10. Path. No. 9881 (V). Central Giant Cell Tumor. Inner Condyle of Femur.Photograph of specimen removed. See Fig. 9. BONE TUMORS — BLOODGOOD 215. Pig. 12.
image size: 1300x1152
Malignant, fungating giant‐cell tumor of the tendon sheath (GCT‐TS) of the foot: A case report - Elbahri - 2023 - Clinical Case Reports - Wiley Online Library
image size: 1984x1456
Tenosynovial giant cell tumor in the elbow of a child with the sole symptom of extension disturbance - JSES Reviews, Reports \u0026 Techniques
image size: 3321x2162
Giant Cell Tumor of Bone: Review, Mimics, and New Developments in Treatment | RadioGraphics
MRI of giant cell tumor of proximal tibia : r/Radiology
image size: 1080x1080
Radiological findings of denosumab treatment for giant cell tumours of bone | Skeletal Radiology
image size: 1200x913
A giant cell tumor of bone (GCT) is a benign aggressive tumor that originates in the metaphysics of long bones but often extends into the epiphysis. Up to 50% of tumors occur
image size: 1080x1080
Management of a rare giant cell tumor of the distal fibula: A case report
image size: 4083x1170
Frontiers | Case Report: Unresectable pulmonary metastases of a giant cell tumor of bone treated with denosumab: a case report and review of literature
image size: 1418x845
Tenosynovial giant cell tumours of the upper and lower cervical spine: two case reports | Spinal Cord Series and Cases
image size: 685x1638
Metatarsal Giant Cell Tumor in Adolescents - Christopher Bibbo, 2010
image size: 2336x1515
PDF] Radiological and clinical recurrence of giant-cell tumour of bone after the use of cement. | Semantic Scholar
image size: 1174x1216
Case 122: Giant Cell Tumor of the Second MetatarsalRadiology
image size: 1080x1800
Frontiers | Rechallenge of denosumab in advanced giant cell tumor of the bone after atypical femur fracture: A case report and review of literature
image size: 3327x1215
Giant Cell Tumour of the Small Bones of Hand and Foot | Cureus
image size: 986x1323
Unusual sites of giant cell tumor of bone - Indian Journal of Musculoskeletal Radiology (IJMSR)
image size: 1513x1254
File:Giant-cell-tumour-femur xray.jpg - wikidoc
image size: 838x1024
PDF] Giant Cell Tumor of the Bone: Radiography, CT, MRI, and Angiography Findings | Semantic Scholar
image size: 1214x900
Giant Cell Tumor in the Distal End of the Ulna Managed by Darrach's Procedure: A Case Report | Cureus
image size: 986x1003
Giant Cell Tumor of the Proximal Fibula in a 15-year-old Female: A Review and Case Report | In Vivo
image size: 822x1280
Outcomes of Tenosynovial Giant Cell Tumor of the Foot and Ankle - James Robert Barnett, Branavan Rudran, Amir Khan, Sarah O'Reilly-Harbidge, Shelain Patel, Karan Malhotra, Nicholas Cullen, Matthew Welck, William Aston, 2023
image size: 2016x1076
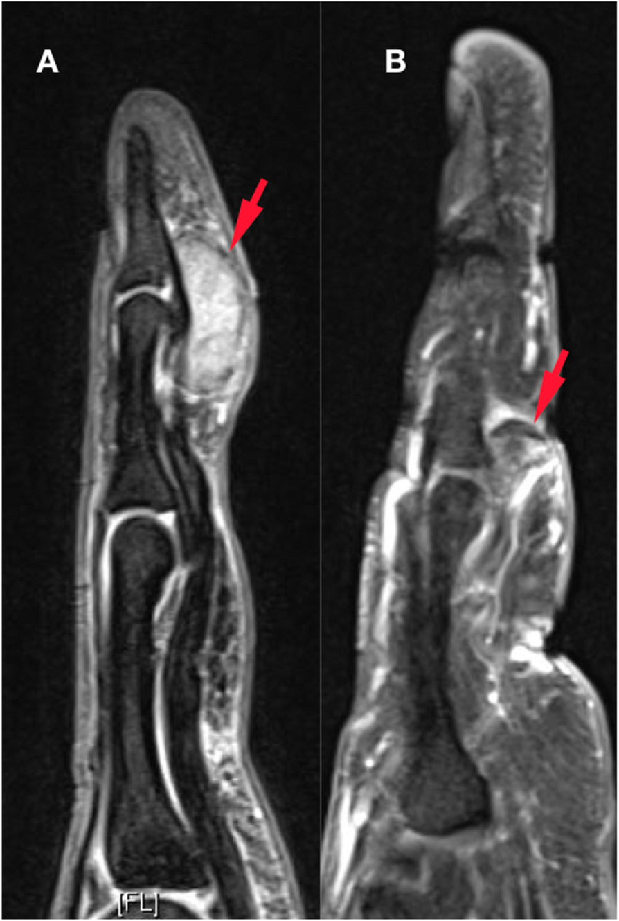
Huge aneurysmal bone cyst secondary to giant cell tumor of the hand phalanx: a case report and related literature | BMC Cancer
image size: 894x1191
Benign Bone Tumors | Concise Medical Knowledge
image size: 1548x846
Pathology Outlines - Central giant cell granuloma
image size: 1600x1200
Giant Cell Tumor of the Acromion: Case Report and Literature Review | In Vivo
image size: 1800x1241
Giant Cell-Rich Tumors of Bone - Surgical Pathology Clinics
image size: 2159x3697
MRI of diffuse-type tenosynovial giant cell tumour in the knee: a guide for diagnosis and treatment response assessment | Insights into Imaging
image size: 1200x1182
Malignancy in giant cell tumor of bone - Bertoni - 2003 - Cancer - Wiley Online Library
image size: 1295x1024
Total elbow replacement for giant-cell tumor of bone after denosumab treatment: a case report - JSES International
image size: 1000x850
Giant cell tumor of tendon sheath in the hand: analysis of risk factors for recurrence in 50 cases | BMC Musculoskeletal Disorders
image size: 894x986
Functional Results after Giant Cell Tumor Operation near Knee Joint and the Cement Radiolucent Zone as Indicator of Recurrence | Anticancer Research
image size: 1800x1521
Malignant giant cell tumors of the tendon sheath of the right hip: A case report
image size: 1912x1508
Recurrent giant cell tumor of the tibial plateau : r/orthopaedics
image size: 3024x4032
Giant Cell Tumor of the Distal Ulna: Multimodal Radiological Investigation of a Very Rare Location
image size: 1660x832
Giant cell tumour of bone around the knee: a systematic review of the functional and oncological outcomes in: EFORT Open Reviews Volume 6 Issue 8 (2021)
image size: 1496x1101
Tenosynovial giant cell tumor of the cervical spine: a case report | Spinal Cord Series and Cases
image size: 986x1462
A giant cell tumor of bone (GCT) is a benign aggressive tumor that originates in the metaphysics of long bones but often extends into the epiphysis. Up to 50% of tumors occur
image size: 1494x744
EPOS\u0026trade;
image size: 1200x917
Frontiers | Comparative Analysis of Two Surgical Treatment Options for Giant Cell Tumor of the Proximal Femur: Extended Curettage and Segmental Resection
image size: 1968x1020
Giant cell tumor with pathologic fracture | Radiology Case | Radshare.net
image size: 1800x1216
Imaging Features of Craniofacial Giant Cell Granulomas: A Large Retrospective Analysis from a Tertiary Care Center | American Journal of Neuroradiology
image size: 1600x961
Giant Cell Tumour of Bone: A Comprehensive Review of Pathogenesis, Diagnosis, and Treatment
image size: 894x1329
Pathology Outlines - Central giant cell granuloma
image size: 1402x1336
Giant Cell Tumor of Bone: Review, Mimics, and New Developments in Treatment1
image size: 900x1233
Giant cell tumor of tendon sheath in the hand: analysis of risk factors for recurrence in 50 cases | BMC Musculoskeletal Disorders
image size: 1512x1330
Figure 3 from Giant Cell Tumor of Bone | Semantic Scholar
image size: 1967x1967
Giant Cell Tumor of Tibia - X Rays Radiology Case Studies - CTisus CT Scanning
image size: 984x1800
A rare case of a huge diffuse-type tenosynovial giant cell tumor in the ankle - Case Reports in Clinical Radiology
image size: 2128x1273
Subependymal Giant Cell Astrocytoma (SEGA) - Clinical Pathology Flashcards | ditki medical and biological sciences
image size: 959x1390
Case 122: Giant Cell Tumor of the Second MetatarsalRadiology
image size: 1314x670
H3F3A‐mutated giant cell tumour of bone without giant cells—clinical presentation, radiology and histology of three cases - Leinauer - 2021 - Histopathology - Wiley Online Library
image size: 4272x2848
Journal of radiology . Fig. 38. Path. No. 23895. Tuberculosis Fig. 39. Path. No. 12927. Central giant-of internal malleolus of tibia. cell tumor of lower end of radius. See page 185.
image size: 1869x899
PDF] Giant Cell Lesion of the Jaw: A Case Report in a Ch ild | Semantic Scholar
image size: 1889x1889
Radiolucent Lesions of Bone (GCT, ABC, UBC, EG, NOF)