How Long Does a Drug Allergy Rash Last? What to Expect
image size: 1200x800
How Long Does a Drug Allergy Rash Last? What to Expect
image size: 1030x801
Nach dem Arztbesuch bin ich so wütend : r/adhdwomen
image size: 3072x4080
Hey, mein Beagle hat diesen komischen Ohren-Ausschlag. Weiß jemand, was das ist und wie man es behandelt? Danke. : r/DOG
image size: 3024x4032
Ich trag ne Galaxy Watch Ultra und hab ne rote Brandmarke am Handgelenk, genau an der Stelle des Sensors. Kennt das jemand? : r/GalaxyWatch
image size: 3000x4000
Ausschlagartige Pusteln? : r/30PlusSkinCare
image size: 2318x2763
Ausschlagartige Pusteln? : r/30PlusSkinCare
image size: 1576x2098
Was ist das für ein Körperausschlag?! : r/Folliculitis
image size: 3024x4032
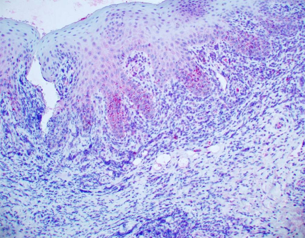
Syphilis | e.Curriculum Innere Medizin
image size: 1004x784
Nutrient recommendations for vegans in the Philippines
image size: 2148x3918
Diesen Effekt bekommst Du nirgendwo anders! ✨ Die von mir entwickelte MBM Lips-Methode macht Deine Lippen besonders und einzigartig 💋 Die Methode garantiert, dass die Lippen in ihrer schönsten Form zum Vorschein
image size: 1080x1080
Ich trag ne Galaxy Watch Ultra und hab ne rote Brandmarke am Handgelenk, genau an der Stelle des Sensors. Kennt das jemand? : r/GalaxyWatch
image size: 3000x4000
Skin-Picking: Auslöser und Tipps zur Behandlung — Selfcare Society
image size: 2500x3750
Ich trag ne Galaxy Watch Ultra und hab ne rote Brandmarke am Handgelenk, genau an der Stelle des Sensors. Kennt das jemand? : r/GalaxyWatch
image size: 1080x1439
lIlIlIIIIll lIlIlIIIIll lIlIlIIIIll lIlIlIIIIll
image size: 3000x4000
Ich trag ne Galaxy Watch Ultra und hab ne rote Brandmarke am Handgelenk, genau an der Stelle des Sensors. Kennt das jemand? : r/GalaxyWatch
image size: 1280x964
Mephedron – Wikipedia
image size: 5120x2880
Badesalz: Lang- und kurzfristige Wirkungen
image size: 1200x714
Cefiderocol – Wikipedia
image size: 900x1603
Badesalz: Lang- und kurzfristige Wirkungen
image size: 1500x1000
Alkohol und Drogen: Was bedeutet der Rausch für die Haut?
image size: 827x1099
Doping für das Gehirn | Zeitschrift für Gerontologie und Geriatrie
image size: 3264x1840
Ich bin eine Person mit einer schweren Form von Ichthyose, worüber oft auf r/WTFgesprochen wird. Bilder meiner Haut im Inneren. Fragt mich alles. : r/IAmA
Ich bin eine Person mit einer schweren Form von Ichthyose, worüber oft auf r/WTFgesprochen wird. Bilder meiner Haut im Inneren. Fragt mich alles. : r/IAmA
Foto- und Bild-Portfolio von OneSideProFoto | Shutterstock-Anbieter
image size: 1024x903
Untitled
image size: 720x1280
EADV 2020
image size: 1200x824
Untitled
image size: 2560x600
Wiley Focus
image size: 1200x1701
Rituals Liquides vaisselle Dish Wash. The Ritual of Sakura, liquide vaisselle, 400 ml #foryoupage #foryou
image size: 1080x1440
Selektive Interleukin-23-Inhibition mit Guselkumab
image size: 2448x3264
Antiepileptika für die Langzeittherapie
image size: 3024x4032
Überblick zu chronobiologischen und schlafmedizinischen Aspekten bei Depressionen im Jugendalter | Bundesgesundheitsblatt - Gesundheitsforschung - Gesundheitsschutz
image size: 3024x4032
Understanding Safety | KESIMPTA® (ofatumumab)
image size: 1080x1918
Bulletin 2009/20 - European Patent Office
image size: 1200x1549
Ich trag ne Galaxy Watch Ultra und hab ne rote Brandmarke am Handgelenk, genau an der Stelle des Sensors. Kennt das jemand? : r/GalaxyWatch
image size: 3024x4032
Bring einem Medizinstudenten bei, \
image size: 1200x876
EADV 2020
image size: 1080x1920
211007_EULAR_Highlights 2021_EN.indd
image size: 1152x2048
Untitled
image size: 1048x1518
Der Ranchu-Goldfisch meines Freundes geht es nicht gut :( : r/Goldfish
image size: 768x1024
Der Ranchu-Goldfisch meines Freundes geht es nicht gut :( : r/Goldfish
image size: 1440x1800
Ich trag ne Galaxy Watch Ultra und hab ne rote Brandmarke am Handgelenk, genau an der Stelle des Sensors. Kennt das jemand? : r/GalaxyWatch
image size: 2560x1350
GER-20841RC-14-Synthetic Drugs Booklet-2015.indd
image size: 960x960
60. Jahrestagung der Deutschen Gesellschaft für Epileptologie
image size: 1153x1201
60. Jahrestagung der Deutschen Gesellschaft für Epileptologie
image size: 1200x1701
Wörterbuch der Indogermanischen Sprachen: Dritter Teil ...
image size: 1244x1600
GER-20841RC-14-Synthetic Drugs Booklet-2015.indd
image size: 1280x720
Der Ranchu-Goldfisch meines Freundes geht es nicht gut :( : r/Goldfish
image size: 1024x768
GER-20841RC-14-Synthetic Drugs Booklet-2015.indd
image size: 1200x2415
211007_EULAR_Highlights 2021_EN.indd
image size: 768x1024
31. Deutscher Krebskongress KON – ntelligente Konzepte in der Onkologie